Teléfonos

Contactanos en cualquier momento.

+591 2 2793708
+591 70616754
+591 70611591

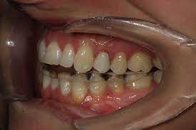
Apretar, Rechinar, Bruxismo y ATM

Apretar los dientes, rechinar los dientes y bruxismo


Es común que las personas aprietan la mandíbula y rechinen los dientes. Esta condición también se conoce como bruxismo. El bruxismo, el rechinar y/o apretar pueden ocurrir durante la noche cuando está dormido o durante el día y para algunas personas puede ocurrir durante el día y la noche. Es más común apretar o rechinar los dientes durante la noche de forma inconsciente. Durante el día, la mayoría de las personas logran dejar de rechinar o apretar conscientemente.

¿Qué causa apretar, rechinar y bruxismo?


Hay una serie de factores que afectan el rechinar y apretar los dientes.

  • Su condición puede ser causada por la forma en que se colocan los dientes y la forma en que los dientes muerden entre sí o la forma en que se coloca la articulación de la mandíbula (ATM).
  • Los ronquidos y la apnea del sueño también pueden ser una causa si aprieta o rechina los dientes.
  • Los estimulantes como el alcohol, la cafeína y el tabaco también pueden aumentar el bruxismo (actividad de apretar y rechinar).
  • El estrés, la ansiedad y la depresión juegan un papel importante en la condición del bruxismo y el grado de apretar y rechinar puede incluso estar directamente relacionado.

¿Cuáles son los signos y síntomas del bruxismo?


  • Músculos faciales tensos o rígidos
  • Dolor alrededor de la mandíbula o la articulación de la mandíbula frente a la oreja
  • Dolores de cabeza, dolor en las sienes y/o dolor de cuello
  • Dolor de oídos
  • Apertura de mandíbula limitada
  • Alteración del sueño
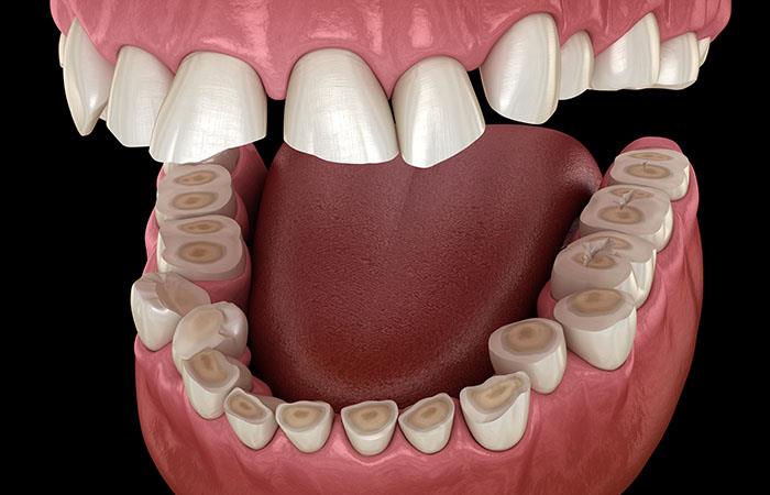
  • Desgaste de los dientes y daños en los dientes.
  • Apretar los dientes y las mandíbulas
  • Dolor a la apertura y cierre de la boca

Dispositivos Anti Bruxismo

¿Cuáles son los tratamientos para el bruxismo?


El tratamiento más utilizado para el bruxismo es la fabricación de un aparato de mordida que debe llevar puesto por la noche. Este tipo de aparato tiene numerosas variaciones y nombres como oclusal planos de relajación , planos de protección o Bite Splint, Michigan Splint, Tanner Splint o B-splint. La férula de mordida protegerá sus dientes de un mayor desgaste y daño dental. La férula de mordida posicionará su mandíbula para proteger su articulación de mandíbula ATM de una sobrecarga y mantendrá su articulación en su posición ideal. La férula para morder también mantendrá los músculos en una posición relajada para evitar espasmos y dolores musculares. Las férulas para morder ayudarán a controlar los efectos del bruxismo.

Si los ronquidos también son un problema, podemos fabricarle un dispositivo de avance mandibular o un dispositivo para roncar que puede ayudar tanto con los ronquidos como con el bruxismo.

Muchas personas que rechinan o aprietan los dientes también presentan mandíbulas cuadradas debido a un músculo masetero hipertrofiado (agrandado). La hiperactividad del músculo conduce a su agrandamiento, lo que conduce a una mayor hiperactividad y el ciclo continúa. También se recomienda reducir los estimulantes como el alcohol, la cafeína y el tabaquismo, ya que pueden exacerbar el bruxismo; moler y apretar.

El uso de técnicas de relajación, el yoga y la meditación también pueden ayudar a abordar cualquier tensión muscular y estrés que puedan estar involucrados en la causa de su bruxismo.

Dispositivo Anti Ronquidos

Los ronquidos pueden alterar la calidad de su sueño, lo que puede provocar problemas de salud, fatiga y problemas de concentración. Los ronquidos intensos no solo son molestos, sino que también pueden ser perjudiciales para la salud.

¿Por qué suceden los ronquidos?


Los ronquidos ocurren cuando el aire no puede pasar libremente por la nariz y la garganta. Durante el sueño, los músculos de las vías respiratorias se estrechan y relajan. Esto hace que los tejidos de las vías respiratorias vibren al respirar, provocando el sonido áspero que conocemos como ronquidos.

¿Cuáles son las causas de los ronquidos?


Los ronquidos pueden ocurrir con mayor frecuencia debido a la edad, los problemas nasales y de los senos paranasales y el sobrepeso. Además, dormir boca arriba, fumar y el consumo excesivo de alcohol también pueden ser factores que contribuyen a los ronquidos.

Mientras que los ronquidos leves ocasionales son inofensivos, los ronquidos fuertes pueden ser graves y pueden ser un indicio de una condición de salud como la apnea obstructiva del sueño.

¿Qué es la apnea obstructiva del sueño (AOS)?


La apnea obstructiva del sueño es una afección en la que la respiración se vuelve muy superficial e incluso puede detenerse por completo durante el sueño. Esto se debe a la obstrucción del flujo de aire en las vías respiratorias. Los ronquidos intensos son una característica de la apnea obstructiva del sueño.

¿Cuáles son algunos de los efectos de la apnea obstructiva del sueño?


Las personas con apnea obstructiva del sueño grave pueden tener cientos de episodios de apnea del sueño por noche. Estos episodios reducen los niveles de oxígeno en la sangre y pueden despertarse sobresaltado.

Tener apnea obstructiva del sueño también puede aumentar el riesgo de accidentes cerebrovasculares, ataques cardíacos y presión arterial alta.

¿Cuáles son algunas soluciones simples para los ronquidos?


Hay muchas soluciones simples que pueden reducir los ronquidos y mejorar la calidad del sueño:

  • Evitar el consumo excesivo de alcohol y fumar
  • Hacer ejercicio y mantener un peso saludable
  • Cambiar su posición para dormir para que no duerma boca arriba
  • Elevar la cabecera de su cama por 4 pulgadas
  • Dormir en patrones regulares

Una de las mejores soluciones para los ronquidos y la apnea obstructiva del sueño de leve a moderada es utilizar un dispositivo antirronquidos.


¿Cómo puede ayudarme el uso de un dispositivo antirronquidos?


En CIMAX, podemos tratar sus ronquidos y apnea obstructiva del sueño con un dispositivo antirronquidos.

Los dispositivos anti ronquidos son dispositivos dentales que se usan mientras duerme. El dispositivo mueve la mandíbula inferior hacia adelante hasta una posición cómoda, lo que permite la relajación de los tejidos de la garganta y garantiza un sueño silencioso e ininterrumpido. Muchos de nuestros pacientes prefieren los dispositivos antirronquidos a otras soluciones por su eficacia y nivel de comodidad.

Nuestros dispositivos anti ronquidos se adaptan al paciente individual y están clínicamente probados con el 91% de los pacientes que informan una mejora en la calidad del sueño.

Chatea con nosotros